Are you unhappy with the way your smile looks? Searching for a trusted dentist in Berkeley, CA? At Acorn Family Dental Care, Dr. Teah Nguyen and her dedicated team are passionate about creating confident, healthy smiles. On this page, you’ll discover how our personalized cosmetic and restorative treatments — including dental implants and smile makeovers — can help you achieve the beautiful results you deserve. Explore our Smile Gallery below to see real patient transformations and the life-changing impact of expert dental care.




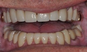
This patient experienced severe tooth wear caused by an orthodontic malocclusion and years of clenching and grinding. After a brief orthodontic phase to realign his teeth, we restored his smile to its natural length and function. The results show a dramatic improvement in appearance and protection against future damage.
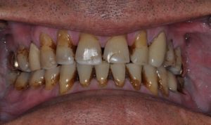
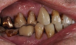
This patient came to us after years of avoiding dental care, convinced he would lose most of his teeth. With a carefully planned, multidisciplinary approach, we preserved nearly all of them — performing root canals, crown restorations, gum contouring, and limited orthodontic treatment to restore both health and aesthetics. After about a year of treatment, his smile — and confidence — were completely transformed. Today, he can’t stop smiling!


Dental Crowns


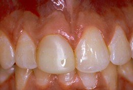
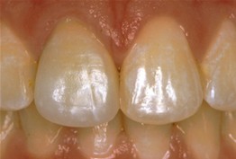
Before: The front left central tooth had an unnatural-looking
restoration that didn’t match the gumline or shape of the
surrounding teeth.
After: We replaced it with an all-porcelain
crown (metal-free), precisely contoured to blend seamlessly with the
gumline. The result is a natural, beautifully matched smile.


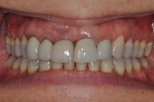
Before: The patient required upper arch rehabilitation, with
stained front teeth, worn and chipped edges, and noticeable gum
recession.
After: We restored the smile using eight all-porcelain crowns, creating
even gumlines and properly contoured teeth for improved appearance,
bite function, and a beautifully balanced smile.


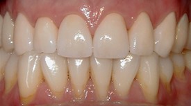
Before: The patient’s four upper front crowns were mismatched in
color and shape, creating an uneven smile.
After: We replaced them with four all-porcelain crowns that perfectly
match the natural enamel. The central incisors were lengthened for
a more balanced, natural-looking smile.
Dental Implants




Before: The patient came to us with issues related to a previous
implant and the surrounding gum tissue, as well as poorly
contoured crowns placed at another office. The visible gaps,
exposed roots, and uneven gumline made her self-conscious about
smiling.
After: We designed new crowns for her front teeth with improved contours
to close gaps and enhance symmetry. Minor gum reshaping around the
implant completed the transformation, resulting in a healthier, more
natural, and confident smile.


Why Choose Acorn Family Dental Care
We believe that every smile tells a story.
We shine. With expert dentists, modern technology, and a gentle approach, we deliver care that’s as comfortable as it is effective. From routine check-ups to advanced treatments, we put your needs first, ensuring you feel confident every step of the way.
Deserves the best care possible.
Experienced Dental Professionals.
Modern Technology.
Comfort & Pain-Free Care.
Emergency Support.
Clean & Hygienic Environment.
Skilled & Caring Dentists.

Book your dental appointment in Berkeley, CA, and discover why patients trust us for lasting, confident smiles.
Call us at
+1 510-848-011498%
Our Patient Care Retention Rate.

